Cabinet d'orthodontie de la Vaunage - Dr Michel Cuinet
Orthodontiste à Calvisson dans le Gard
151 rue du Levant, 30420 CALVISSON
+33 4 66 37 45 04
Cabinet d'orthodontie de la Vaunage - Dr Michel Cuinet
Orthodontiste à Calvisson dans le Gard

Blog - Page 3

La salive : un protecteur naturel de notre bouche

La salive : un protecteur naturel de notre bouche

La salive est notre meilleure alliée contre la carie dentaire et l’infection des muqueuses orales.

Pourquoi l'excès de sucre est-il mauvais pour les dents ?

Pourquoi l'excès de sucre est-il mauvais pour les dents ?

Le sucre est source de gros dégâts pour les dents. Il peut les détruire et parfois faire souffrir d’une bonne « rage de dent ».

L'usure dentaire

L'usure dentaire

Certaines personnes paraissent avoir subi une forme d’usure prématurée des dents. Quelles en sont les causes et comment y remédier ?

Les grincements de dents : le bruxisme

Les grincements de dents : le bruxisme

Le bruxisme est l’action de grincer des dents, particulièrement durant le sommeil, en produisant des bruits de frottements dentaires.

Les concentrations en fluor des eaux minérales

Les concentrations en fluor des eaux minérales

La quantité de fluor présente dans les eaux minérales est très variable et il est important pour vous de bien la connaître.

La pose de vernis fluoré pour les enfants et les jeunes adultes de 3 à 24 ans

La pose de vernis fluoré pour les enfants et les jeunes adultes de 3 à 24 ans

Le fluor, par voie générale ou en application locale, joue un rôle essentiel dans la protection des dents de l’enfant.

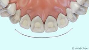
Fil de contention

Fil de contention

Technique de brossage des dents

Technique de brossage des dents

Êtes-vous sûr de bien vous brosser les dents ? Un bon brossage permet de conserver des dents et des gencives saines à tout âge.

Ronflement et apnée du sommeil

Ronflement et apnée du sommeil

Ronflements, sommeil agité, troubles de la respiration nocturne, somnolence... Ces signes peuvent révéler une apnée du sommeil. Êtes-vous concerné ?

Les gingivites

Les gingivites

Vos gencives sont gonflées, rouge foncé ou bien elles saignent, même de manière épisodique ?
Cette situation peut révéler l’existence d’une gingivite.

Pourquoi faut-il remplacer une dent manquante ?

Pourquoi faut-il remplacer une dent manquante ?

La totalité des dents des deux maxillaires constitue un ensemble stable et la perte d’une seule dent peut perturber tout l’équilibre de la bouche.

Vrai ou faux ?

Vrai ou faux ?

Testez vos connaissances, et trouvez les réponses aux questions sur votre santé bucco-dentaire.

Affichage des articles 25-36 sur 100

Création par Webdentiste

Connexion